


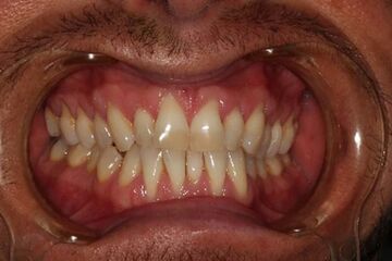
Looking for a more confident smile? Do you have twisted, crooked or overlapping teeth? We can help. Invisalign® is the invisible way to straighten your teeth, without unsightly braces in as little as 6 months.
FREE Consultation - get all your questions answered during your free consultation. Includes a FREE 3D iTero Scan and FREE Smile Simulation Preview.
AFFORDABLE 0% monthly payment plans - spread the cost with our 0% monthly payment plans.
APEX PROVIDER - Top 1% of Invisalign® providers in Europe ★★★★★


We respect your privacy. We store personal data securely and will not share your details with any 3rd party.

Invisalign® straightens teeth using a series of nearly invisible, removable aligners that are custom–made specifically for your teeth. As you replace each aligner every two weeks, your teeth will move - little by little, week by week, gradually moving towards the projected final position.
Comfortable, clear and removable - Invisalign® transforms your smile without disrupting your life. Something that over 3 million people worldwide have already discovered.
Invisalign® can cure most cases within 12 months leaving you with a straighter smile and much more confidence.

"Fantastic professional service . Highly recommended . My dentist Dr Meenal Kimmens and Debbie helped greatly with with my Invisalign journey . Thankyou !"
★★★★★

"Just finished my Invisalign course with Leigh Dental Centre, I couldn’t have done it without them the support & care was brilliant I would totally recommend them."
★★★★★

"I have had the best experience with Leigh Dental. I came across this dental clinic when I was looking into getting Invisalign and coming here is one of the best decisions I’ve ever made. The whole staff is incredibly friendly, attentive and accommodating. My Invisalign journey was seamless and my teeth look great, thank you Simal!"
★★★★★

"I’ve been having Invisalign treatment at Leigh Dental Centre for the past year. Staff are always kind, professional and trustworthy. Prices are better than others for Invisalign treatment. I would definitely recommend this dentist."
★★★★★

"Fantastic professional service . Highly recommended . My dentist Dr Meenal Kimmens and Debbie helped greatly with with my Invisalign journey . Thankyou !"
★★★★★

"Just finished my Invisalign course with Leigh Dental Centre, I couldn’t have done it without them the support & care was brilliant I would totally recommend them."
★★★★★

"I have had the best experience with Leigh Dental. I came across this dental clinic when I was looking into getting Invisalign and coming here is one of the best decisions I’ve ever made. The whole staff is incredibly friendly, attentive and accommodating. My Invisalign journey was seamless and my teeth look great, thank you Simal!"
★★★★★

"I’ve been having Invisalign treatment at Leigh Dental Centre for the past year. Staff are always kind, professional and trustworthy. Prices are better than others for Invisalign treatment. I would definitely recommend this dentist."
★★★★★

Using the iTero Element scanner, your invisalign® doctor takes a fast and precise 3D digital scan of your teeth.
Your invisalign® doctor then maps out a custom treatment plan just for you, based on a highly accurate digital treatment simulation.
The aligners are then fitted, and review appointments are routinely 8 - 10 weeks apart.
Once the treatment is completed, the patient is issued with a set of retainers for ongoing maintenance.
Using the iTero Element scanner, your invisalign® doctor takes a fast and precise 3D digital scan of your teeth.
Your invisalign® doctor then maps out a custom treatment plan just for you, based on a highly accurate digital treatment simulation.
The aligners are then fitted, and review appointments are routinely 8 - 10 weeks apart.
Once the treatment is completed, the patient is issued with a set of retainers for ongoing maintenance.







